LE FUNZIONI DELL’ORGANO MASTICATORIO: RESPIRAZIONE
1) Come deve avvenire una respirazione fisiologica nel bambino e nell’adulto?
“L’aria dovrebbe venire inspirata sempre attraverso il naso (e non dalla bocca) perché in questo modo si scalda, si umidifica e si purifica e arriva ai polmoni filtrata. Tutto questo grazie ad uno specifico epitelio del naso che ne riveste le pareti e produce muco, il quale viene spostato da particolari ciglia vibratili. Nel naso sono presenti anche cellule del sistema immunitario e numerose sostanze che sono in grado di bloccare batteri, virus e sostanze nocive. Il naso, quindi, è come se fosse la prima trincea del nostro sistema immunitario. Il nostro guardiano dell’immunità…… Normalmente la frequenza respiratoria, cioè il numero di inspirazioni ed espirazioni al minuto in un adulto va da 12 a 20…. durante la fase di inspirazione il muscolo diaframma si abbassa e la gabbia toracica si amplia, durante l’espirazione il diaframma si abbassa e le coste si chiudono” (da “Una bocca sana per un corpo sano” Veronica Vismara 2019). La presa d’aria per via orale è considerata fisiologica solo durante un particolare sforzo fisico e solo per brevi periodi di tempo
2) Quali possono essere le cause di una respirazione non fisiologica, orale o mista nel bambino?
“Se ci ammaliamo, per il freddo o perché il nostro sistema immunitario è indebolito o se il virus è particolarmente attivo, si può scatenare un’infezione e il muco si trasforma in catarro che, invece che lubrificare, ostruisce le vie aeree rendendo difficile la respirazione.
Tutto questo può avvenire anche per una reazione allergica, cioè quando il nostro sistema immunitario riconosce come pericolosa una particella che normalmente è innocua, e allora si scatena l’infiammazione. La particella in questione si chiama allora allergene. Gli effetti di questa reazione, che sia allergica o da virus o batteri, diventano sempre un’ostruzione delle vie aeree e una difficoltà respiratoria.
A questo punto il sistema, che deve sopravvivere (e senza respirare non può farlo), decide che il minore dei mali è …. respirare con la bocca!
Se il fenomeno persiste, le adenoidi, che svolgono un’importante funzione immunitaria, possono ingrossarsi al punto da ostruire le vie aeree in modo permanente e così perpetuare la situazione di respirazione orale.
È a questo livello che la respirazione ha una grossa interferenza con le funzioni dell’organo masticatorio.” (da “Una bocca sana per un corpo sano” Veronica Vismara 2019)
-La suzione prolungata di dito o ciuccio possono anch’esse, indirettamente, divenire cause di respirazione orale. Infatti con queste abitudini viziate la lingua si abitua a restare in una postura bassa, la deglutizione avviene forzatamente con la lingua in quella posizione e le labbra perdono di tonicità diventando beanti (soprattutto se si arriva a provocare la presenza di morso aperto o aumento di overjet)
-A volte la respirazione avviene di giorno in modo fisiologico e di notte a livello orale, e spesso il genitore può riferire che il bambino russa o ha un sonno agitato.
3) Quali possono essere le cause di una respirazione non fisiologica, orale o mista nell’adulto?
-Le stesse del bambino se protratte nel tempo. In più vanno considerate tutte le deviazioni del setto nasale dovute ad esempio a traumi, o un aumento delle dimensioni dei turbinati sempre per cause allergiche. A volte la respirazione mista o orale persiste nonostante un intervento chirurgico atto a rimuoverne le cause, semplicemente per abitudine!
4)Quali possono essere le conseguenze di una respirazione orale o mista nel bambino?
-I problemi si generano quando la respirazione che normalmente viene messa in atto è a livello prevalentemente o esclusivamente orale. Infatti, la respirazione orale è stata addirittura catalogata come una “Sindrome da disadattamento psico-neuro-endocrino-immunitario”. Questo comporta disturbi del sonno, dell’attenzione durante il giorno (perché si dorme male e l’organismo è poco ossigenato), disordini immunologici ed endocrinologici di conseguenza.
-La beanza labiale a riposo, cioè il fatto che le labbra, ipotoniche, non si chiudono con facilità ma necessitano di uno sforzo muscolare è un’altra conseguenza della respirazione orale. Questo crea un circolo vizioso con la deglutizione disfunzionale

– Respirare con la bocca comporta anche una tendenza alla disidratazione delle mucose del cavo orale. Questa situazione favorisce l’insorgenza della carie perché la mancanza di saliva impedisce quella che si chiama autodetersione dentale. I denti cioè vengono detersi continuamente dalla saliva presente e questo impedisce alla placca batterica di ristagnare nelle zone più nascoste e difficili da raggiungere dallo spazzolino o dal filo. La placca che non viene rimossa diventa sempre più attiva e i batteri che la compongono si trasformano da innocui a patologici provocando appunto l’erosione dello smalto, cioè la carie a livello dei denti, e la gengivite a livello dei tessuti molli (gengive)
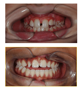
– Se la lingua non è proprio priva di tono può arrivare a spingere in mezzo ai denti o sugli incisivi superiori (ma non arriva quasi mai nella zona giusta dietro gli incisivi superiori) e in questo caso si instaura una malocclusione detta morso aperto, laterale o anteriore

Il morso aperto può essere anteriore o laterale, a seconda della zona dove la lingua spinge di più e dove finisce per infilarsi una volta che ha creato il “buco”. La presenza del morso aperto è una condizione che a sua volta impone alla lingua di stare in quella posizione per poter deglutire, impedisce alle guance di tonificarsi e la bocca resta aperta durante la respirazione favorendo l’ormai famoso circolo vizioso tra respirazione orale, deglutizione atipica e malocclusione
– Se la lingua viene interposta tra i denti, questo può impedire una corretta e adeguata eruzione dei permanenti, instaurando e favorendo così la presenza di un’altra malocclusione detta morso profondo o morso coperto

-Tutto ciò è valido se il problema si instaura in giovane età e comunque prima della fine dello sviluppo scheletrico, e come abbiamo detto, la serietà della malocclusione è direttamente proporzionale all’età di insorgenza del problema respiratorio” (da “Una bocca sana per un corpo sano” Veronica Vismara 2019)
5) Quali possono essere le conseguenze di una respirazione orale o mista nell’adulto?
-Tutte le malocclusioni presentate come conseguenze della respirazione orale del bambino, se non corrette ovviamente rimarranno e si struttureranno anche nell’adulto. In questo caso non sarà più possibile correggerle semplicemente ripristinando una corretta respirazione ma saranno necessari interventi più importanti
– “I danni a livello del cavo orale sono tanto più importanti quanto più precocemente si instaura questa abitudine, e interessano soprattutto la forma del palato e di conseguenza la posizione dei denti.
In pratica, respirando con la bocca aperta, le guance si contraggono più del normale e così impediscono al palato di espandersi in senso trasversale nel modo corretto. Per questo motivo spesso il palato resta stretto. A livello dentale questo si può manifestare con la presenza del cosiddetto morso crociato bilaterale

I denti superiori del mascellare quando siamo in presenza di un’occlusione corretta devono stare all’ esterno rispetto a quelli della mandibola, quasi come un coperchio. Nel caso del morso crociato avviene l’inverso, cioè i denti del mascellare superiore sono all’interno rispetto a quelli della mandibola e questo può avvenire da un solo lato o da ambedue i lati. Questo “assetto “dentale può impedire una masticazione bilaterale alternata per la presenza di quelli che vengono chiamati “precontatti”, che sono dei veri e propri vincoli di movimento, cioè degli stop funzionali che bloccano letteralmente i movimenti fisiologici. In questa situazione la mandibola, mentre cerca di muoversi trasversalmente per triturare il cibo, si scontra con alcuni denti che non dovrebbero essere in quella posizione e, come sempre, sceglie di non andare dove c’è possibilità di conflitto e così evita l’ostacolo. La conseguenza è una masticazione monolaterale con gli effetti che abbiamo visto. Oppure la masticazione che si instaura è di tipo verticale, come quella dei carnivori. Anche questo tipo di masticazione, contemplando solo movimenti di rotazione, comporta dei movimenti dei condili ripetuti lungo le stesse traiettorie, con le conseguenti deformazioni dei menischi e probabili click.” (da “Una bocca sana per un corpo sano” Veronica Vismara 2019)
6) Quale è la terapia adeguata per una respirazione orale o mista nel bambino?
-Ovviamente, se c’è una ostruzione meccanica data da adenoidi o ipertrofia dei turbinati, questa è la prima problematica da affrontare. Consiglio sempre la collaborazione con un otorino, con un osteopata e con un medico omeopata o comunque naturopata. Se l’ostruzione adenoidea è irreversibile, è indicato l’intervento chirurgico. In ogni caso andrebbero appurate le cause di questa ipertrofia, e se sono presenti delle allergie, vanno risolte, pena la recidiva. Le allergie si possono risolvere con diversi mezzi, allopatici o naturali. Io consiglio sempre di provare prima con i metodi naturali e solo in casi estremi di utilizzare farmaci allopatici. Esistono numerosi rimedi per le allergie e un buon medico naturopata può consigliarvi quello migliore.
-L’osteopata può liberare la “respirazione cranica”, in modo da rendere l’opera dell’otorino e del dentista più efficace. Nei bambini l’osteopatia riesce a fare davvero dei miracoli, comprese modificazioni scheletriche vere e proprie.
-Eliminato il problema ostruttivo, va comunque sempre eseguita una terapia di R.F.C.O. specifica per la presa d’aria nasale, rieducando il naso e i suoi muscoli a fare quello che non erano più abituati a fare, ed esercizi di respirazione diaframmatica profonda.
7) Quale è la terapia adeguata per una respirazione orale o mista nell’adulto?
-Vale lo stesso discorso che nei bambini. A volte la risoluzione di una deviazione del setto nasale porta già a modificare la respirazione da orale a fisiologica nasale. Anche e soprattutto l’adulto deve prevedere delle sedute di R.F.C.O. con esercizi specifici per la respirazione
8) Che cosa è la R.F.C.O. (rieducazione funzionale e comportamentale dell’organo masticatorio) per la respirazione orale o mista?
-Innanzitutto, vanno seguite delle norme di igiene nasale, con vari presidi locali e rimedi a seconda dei casi. Ci si può avvalere anche di rimedi naturali specifici per allergie o comunque problematiche legate alle mucose nasali
-La R.F.C.O. per la respirazione consta di esercizi che “risvegliano” i muscoli del naso, ad esempio le ali del naso, perché riprendano a funzionare correttamente. Si eseguono anche esercizi di respirazione diaframmatica profonda, perché spesso chi respira con il naso lo fa superficialmente, usando solo la respirazione costale, impedendo una buona ossigenazione e instaurando in modo silente anche problematiche muscolari legate al blocco del diaframma
