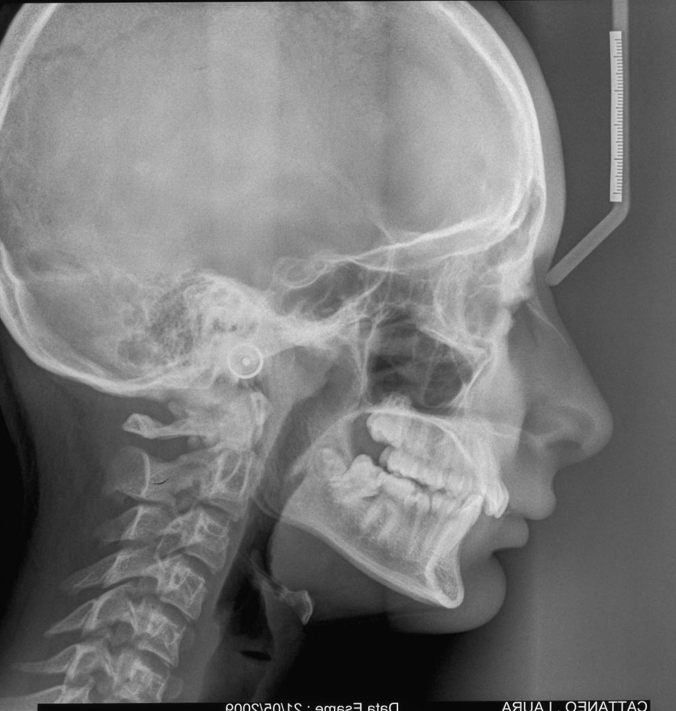
TELERADIOGRAFIA DEL CRANIO

Che cos’è la la Teleradiografia del cranio?
La teleradiografia del cranio è una radiografia della testa da cui si ottiene un’immagine su cui è possibile effettuare misurazioni precise delle diverse strutture e caratteristiche del cranio (l’analisi cefalometrica). È uno studio che può affiancare la panoramica dentaria preliminare ai trattamenti ortodontici. Può essere eseguita da tre angolazioni (latero-laterale, postero-anteriore e assiale), ma quella più utilizzata per l’analisi cefalometrica è la proiezione latero-laterale.
A cosa serve la Teleradiografia del cranio?
La teleradiografia del cranio consente all’odontoiatra di avere una visione d’insieme dell’anatomia della testa per capire se la posizione reciproca delle arcate dentarie è corretta e se i denti sono nella giusta posizione rispetto alle ossa. Permette quindi di pianificare interventi correttivi in caso di problemi come malocclusioni e morsi inversi, e nel caso dell’analisi secondo la proiezione postero-anteriore, di visualizzare frontalmente l’intero cranio per rilevare eventuali asimmetrie.
Preparazione all’ esame.
La teleradiografia del cranio non richiede nessuna preparazione.
Chi può sottoporsi all’ esame ?
Non vi sono esclusioni particolari ad eccezione delle donne in gravidanza.
La Teleradiografia del cranio è un esame doloroso o pericoloso?
La teleradiografia del cranio non è un esame doloroso. I rischi sono quelli corsi durante ogni esame radiologico, ma gli apparecchi moderni garantiscono l’uso della dose di radiazioni minima per ottenere un risultato ottimale.
Come si esegue la Teleradiografia del cranio?
Al paziente viene fatto indossare un grembiule di piombo per schermare il resto del corpo dalle radiazioni. Dopo di che, il paziente viene fatto posizionare in piedi all’interno di un apparecchio chiamato craniostato, che grazie a due prolungamenti che si vanno a inserire ciascuno in un orecchio, consentono di assumere la posizione corretta e di mantenerla per tutta la durata dell’analisi. Lo sguardo deve essere orientato in avanti, i denti stretti e le labbra morbide. Per raggiungere la postura più corretta il paziente può essere invitato a deglutire e a mantenere le arcate dentarie nella posizione raggiunta. A questo punto non resta che rimanere immobili per 8-15 secondi, fissando l’orizzonte.
