RADIOLOGIA ENDO ORALE

Cosa è la radiografia endorale?
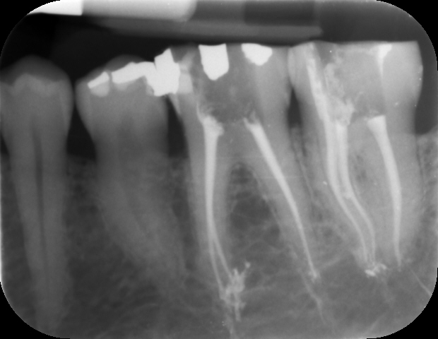
La radiografia endorale è un esame di radiologia odontoiatrica che permette al dentista di avere informazioni dettagliate ma circoscritte ad uno od, al massimo, 3 denti il tutto su una lastra di piccole dimensioni (detta anche lastrina endorale). La parola “endorale” sta a significare che la lastrina che riceve le radiazioni ionizzate viene posta all’interno della bocca del paziente (endo = dentro), generalmente sorretta da uno sostegno in plastica mantenuto in sede dal morso. Come si effettua? La procedura per eseguire una radiografia endorale è molto semplice: il dentista prepara la lastra ricevente e la sistema nel cavo orale del paziente il quale ha il compito di tenerla ferma serrando i denti e mordendo un supporto di plastica a cui la lastrina stessa è connessa. Le dimensioni dalla radiografia endorale sono molto ridotte (in media 30 mm x 40 mm) e questo permette di diminuire al massimo il disagio per il paziente. Per mezzo di un cono lungo e centratori che hanno il compito di circoscrivere la porzione di arcata interessata dall’esame, l’apparecchio viene appoggiato alla guancia del paziente il quale è protetto dall’irradiamento attraverso una mantella o grembiule piombato e/o da un collare per evitare che le radiazioni possano colpire la tiroide, organo molto sensibile. Il tempo di esposizione è simile a quello di una normale fotografia, tutto si conclude in centesimi di secondo e la radiografia compare immediatamente sullo schermo del computer.
